Kovový zesilovač signálu DAB pro imunochemii
Sada pro zesílení imunochemických detekčních signálů na blotovacích membránách a při ELISA
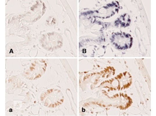
- Zesiluje signál při detekci peroxidázy (HRP) v různých analýzách, jako je imunohistochemie, imunocytochemie, Wester blott nebo in situ hybridizace
- Ve většině případů je síla signálu při použití zesilovače DAB přibližně 2krát vyšší než při použití samotného DAB
- Jedno 100ml balení stačí pro optimalizaci přibližně 10 minigelových blotů nebo 100 sklíček
- Při aplikaci se složky substrátu DAB a pufrovacího činidla jednoduše zředí v kovovém zesilovači DAB
- Purpurově šedou sraženinu vznikající při barvicí reakci lze detekovat ve viditelném světle a při dlouhodobém skladování nebledne
- Preparáty lze trvale upevnit v hydrofilním nebo po dehydrataci v hydrofobním upevňovacím médiu.
Technické parametry
| Bezp.věty (GHS) | H317-H334-H341-H350i-H360D-H372-H412 |
| Teplota skladování | +15 až +25 °C |
Objednávková tabulka
-
Balení: 100 ml
Dostupnost 4 až 6 týdnůKatalogové číslo R.9204.1Počet kusůCena bez DPH (21%) 157,73 €Vaše cena
| Balení | Dostupnost | Katalogové číslo | Cena bez DPH (21%) | |
|---|---|---|---|---|
| 100 ml | 4 až 6 týdnů | R.9204.1 | 157,73 € |
|